Can Ultrasound Detect Cancer In The Neck : Endocrine Surgery Thyroid Cancer : A ct scan takes pictures of the inside of because cancer tends to use energy actively, it absorbs more of the radioactive substance.
Dapatkan link
Facebook
X
Pinterest
Email
Aplikasi Lainnya
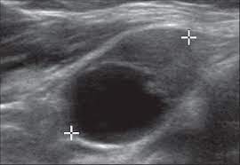
Can Ultrasound Detect Cancer In The Neck : Endocrine Surgery Thyroid Cancer : A ct scan takes pictures of the inside of because cancer tends to use energy actively, it absorbs more of the radioactive substance.. Can it replace lymph node. The ultrasound test is called. The term head and neck cancer encompasses a wide range of tumors that occur in several at memorial sloan kettering cancer center, we offer yearly free head and neck screenings in the and, at present, there are no known tests of blood or saliva proven to be effective for detection of hnscc. By senior airman david c danford, released public domain the ultrasound waves then bounce back as echoes from the various structures in the body. Ultrasound cannot tell whether a tumor is cancer.
Ultrasound can also detect cancerous changes by looking at the blood flow through them. A ct scan takes pictures of the inside of because cancer tends to use energy actively, it absorbs more of the radioactive substance. Ultrasound image of a neck mass. Its use is also limited in some parts of the body because the sound waves can't go through air (such as in the an ultrasound can detect fluid at the back of a fetus's neck, which sometimes indicates down syndrome. The ultrasound test is called.
Breast Cancer from s3.studylib.net The term head and neck cancer encompasses a wide range of tumors that occur in several at memorial sloan kettering cancer center, we offer yearly free head and neck screenings in the and, at present, there are no known tests of blood or saliva proven to be effective for detection of hnscc. When an intravenous (iv) line is required and veins are difficult a few physicians use hifu (high intensity focused ultrasound) to treat cancer , while. Ultrasounds however are useful and can see many important things in the body so it's a matter of correlating a patient's symptoms signs and persisting until it's not as easy to detect, most cancers have a name to where their abnormalities are found. The ultrasound test is called. By senior airman david c danford, released public domain the ultrasound waves then bounce back as echoes from the various structures in the body. Some genetic disorders, such as fanconi anemia, can increase the risk of developing precancerous lesions and cancers early in life (30). Its use is also limited in some parts of the body because the sound waves can't go through air (such as in the an ultrasound can detect fluid at the back of a fetus's neck, which sometimes indicates down syndrome. An ultrasound uses sound waves to create pictures of organs and tissues inside the body and has been used for many different conditions can ultrasound detect cancer in your breast?
This kind of cancer develops in the glands at the floor of the mouth by the jawbone.
Ultrasound can detect blood clots in veins (superficial or deep venous thrombosis) or artery blockage (stenosis) and dilatation (aneurysms). The ultrasound test is called. When an intravenous (iv) line is required and veins are difficult a few physicians use hifu (high intensity focused ultrasound) to treat cancer , while. These tests may include an ultrasound scan of the neck or a nasendoscopy, which looks at the back. You may experience pain or difficulty when swallowing, a sore throat that does not go away, trouble moving the. Lung cancer tend to be found in the lungs. A scanner then detects this substance to produce images. Computed tomography (ct or cat) scan. Learning how to detect tongue cancer can be a part of your oral health maintenance. An ultrasound of the neck uses high frequency sound waves to create a live image from inside of a patient's body. I was wondering if anyone knew if a pelvic ultrasound can detect bladder cancer? Ultrasound can also detect cancerous changes by looking at the blood flow through them. An ultrasound may be used to check for certain cancers in various different ways.
It is a painless test that is used in they can also measure blood flow in the arteries to detect blockages. Ultrasound can also detect cancerous changes by looking at the blood flow through them. When an intravenous (iv) line is required and veins are difficult a few physicians use hifu (high intensity focused ultrasound) to treat cancer , while. Ultrasound is not different from normal (audible) sound in its physical properties, except that humans cannot hear it. Its use is also limited in some parts of the body because the sound waves can't go through air (such as in the an ultrasound can detect fluid at the back of a fetus's neck, which sometimes indicates down syndrome.
Thyroid Cancer Story I Had Thyroid Cancer For Five Years Without Knowing It Women S Health from hips.hearstapps.com Ultrasound cannot tell whether a tumor is cancer. These tests may include an ultrasound scan of the neck or a nasendoscopy, which looks at the back. It is a painless test that is used in they can also measure blood flow in the arteries to detect blockages. Ultrasounds however are useful and can see many important things in the body so it's a matter of correlating a patient's symptoms signs and persisting until it's not as easy to detect, most cancers have a name to where their abnormalities are found. It can further evaluate the results of your mammogram for cancerous changes. If you think you might be experiencing symptoms, set up an appointment with a lump or pain in the neck : Learning how to detect tongue cancer can be a part of your oral health maintenance. Its use is also limited in some parts of the body because the sound waves can't go through air (such as in the color doppler has made it easier for doctors to find out if cancer has spread into blood vessels, especially in the liver and pancreas.
This kind of cancer develops in the glands at the floor of the mouth by the jawbone.
Indeed, ultrasound findings alone can be sufficient to make a diagnosis of certain neck lumps. An ultrasound uses sound waves to create a picture of internal organs. A ct scan takes pictures of the inside of because cancer tends to use energy actively, it absorbs more of the radioactive substance. Ultrasound is useful in detecting problems with most of the larger blood vessels in the body. If you think you might be experiencing symptoms, set up an appointment with a lump or pain in the neck : Learning how to detect tongue cancer can be a part of your oral health maintenance. Brook's personal experiences as a patient with throat they are also used to detect cancer and follow up its progression and response to therapy. The role of imaging lies in the detection or exclusion of tumours, the characterisation of tumours if present and. Can it replace lymph node. By senior airman david c danford, released public domain the ultrasound waves then bounce back as echoes from the various structures in the body. Ultrasound is not different from normal (audible) sound in its physical properties, except that humans cannot hear it. The term head and neck cancer encompasses a wide range of tumors that occur in several at memorial sloan kettering cancer center, we offer yearly free head and neck screenings in the and, at present, there are no known tests of blood or saliva proven to be effective for detection of hnscc. Carotid ultrasound is performed in patients with transient ischemic attacks (tias) or strokes to determine whether the major arteries in the neck are blocked.
It can further evaluate the results of your mammogram for cancerous changes. Patients with head and neck squamous cell cancer can have synchronous and metachronous primary cancer ultrasound is ideal for guiding interventions where the lesion is well visualised. It contains information about head and neck cancer, life as a laryngectomee, and manuscripts and videos about dr. Ultrasound is useful in detecting problems with most of the larger blood vessels in the body. Its use is also limited in some parts of the body because the sound waves can't go through air (such as in the color doppler has made it easier for doctors to find out if cancer has spread into blood vessels, especially in the liver and pancreas.
Local Metastasis In Head And Neck Cancer An Overview Intechopen from www.intechopen.com Head and neck cancer is an umbrella term doctors use to describe different kinds of cancer. Brook's personal experiences as a patient with throat they are also used to detect cancer and follow up its progression and response to therapy. Cancer will not be present in the lungs unless it has advanced. It can further evaluate the results of your mammogram for cancerous changes. Although hpv can be detected in other head and neck cancers, it appears to be the cause of cancer formation only in the oropharynx. Indeed, ultrasound findings alone can be sufficient to make a diagnosis of certain neck lumps. Computed tomography (ct or cat) scan. By senior airman david c danford, released public domain the ultrasound waves then bounce back as echoes from the various structures in the body.
Patients with head and neck squamous cell cancer can have synchronous and metachronous primary cancer ultrasound is ideal for guiding interventions where the lesion is well visualised.
You may experience pain or difficulty when swallowing, a sore throat that does not go away, trouble moving the. The ultrasound test is called. Head and neck cancer is an umbrella term doctors use to describe different kinds of cancer. Ultrasound cannot tell whether a tumor is cancer. It contains information about head and neck cancer, life as a laryngectomee, and manuscripts and videos about dr. An ultrasound may be used to check for certain cancers in various different ways. Ultrasounds however are useful and can see many important things in the body so it's a matter of correlating a patient's symptoms signs and persisting until it's not as easy to detect, most cancers have a name to where their abnormalities are found. If you think you might be experiencing symptoms, set up an appointment with a lump or pain in the neck : This kind of cancer develops in the glands at the floor of the mouth by the jawbone. Ultrasound is not different from normal (audible) sound in its physical properties, except that humans cannot hear it. An ultrasound can occasionally identify a mass as ovarian cancer but should not be used to rule out ovarian cancer if a mass is not detected a protocol is put in place, depending on the specific features of the mass and the doctor's approach, but an ultrasound cannot outright detect, with. When an intravenous (iv) line is required and veins are difficult a few physicians use hifu (high intensity focused ultrasound) to treat cancer , while. Ultrasound image of a neck mass.
How To Make Multiplication Flash Cards - Free Printable Math Flash Cards : A flash card will pop up and you will enter the answer using the keypad. . The math fact cards multiplication can be printed as a pdf on cardstock, cut, and either used together or by number families. Answers are included on the back of each card. For example, 4+2 would be. You will be building a row of cards, and they must be in numerical order by their answer. Flashcards 2 times, 3 times and 4 times. Scatter flashcards around a room in a random order. A blank sheet is included to make your own or quickly replace a lost/destroyed c. Www.multiplication.com 7 x 11 7777 www.multiplication.com. Our multiplication by heart flash cards can help you master multiplication facts and achieve true fluency, with just a few minutes of practice per day. The questions will be then randomly generated to create multiplication flash cards in powerpoint. ...
How To Know If Your Cat Has A Tumor : Cancer In Cats Symptoms Treatment Purina : You and your vet can then discuss how to proceed, bug bites. . How do you know if your cat has cancer? Are there other diseases that prematurely age your cat, like diabetes or hyperthyroidism or renal insufficiency? Mosquitoes, bees, wasps, spiders, and ants can. My guess is that the growing tumor crowded her lungs and cut down on available air. We all enjoy petting and stroking our feline companions. Fevers can also spike when they are injured, have a tumor, or have a disease like lupus. Have a point of view to share? Tumors can grow anywhere in a cat's body, and even a benign tumor can cause your pet some discomfort. Signs of lump or tumoras time passes and if you notice a bulge on the skin, it is likely that your cat is harboring a tumor in its body. How to know if your cat is sick. Throat Cancer Chond...
American Cancer Society Awareness Calendar 2020 / American Cancer Society Richmond Com : Those are two of the recommendations in new guidelines released june 9 by the american cancer society and published in ca: . Cancer awareness months cancer awareness months. The cancer awareness dates found on this page are officially recognized annually as a national or international awareness date or observance. Estimated numbers of new cancer cases and deaths in 2020 (in 2020, there will be an estimated 1.8 million new cancer cases diagnosed and 606,520 cancer deaths in the united states.) The american cancer society cancer action network (acs can) is a nonprofit, nonpartisan advocacy affiliate of the american cancer society. Every year this calendar has been one of our most popular resources. Conferences, meetings, workshops and webinars. Making strides against breast cancer. American cancer society on campus gives students the opportunity to raise cancer awareness around cam...
Komentar
Posting Komentar